
Un antes y un después en la historia de la intervención quirúrgica de la provincia. La patología genética conocido como “huesos de cristal”, más específicamente denominada osteogénesis imperfecta, que anteriormente era derivada al Garrahan en Buenos Aires, ahora también se podrá operar en Misiones.
El doctor Matías Garabito, especialista en Traumatología y Ortopedia Infantil, fue el encargado de llevar adelante la primera operación de estas características y contó a FM 89.3 Santa María de las Misiones todos los detalles.
¿Qué es la osteogénesis imperfecta?
“Es una patología de origen genético, es decir, es una enfermedad adquirida desde el nacimiento. Consiste en una alteración a nivel de los huesos en los cuales los chicos sufren fracturas a repetición con traumas mínimos, a veces es una caída simple. Tiene que ver con una falla en la clasificación ósea”, manifestó el profesional.
El especialista aclaró que existen diferentes grados. “En un grado bajo, son chicos en apariencia normales, sin embargo, en la expresión más severa de la patología son chicos con baja talla, pequeños con una alteración en el crecimiento y repetidas fracturas”.
Primera paciente
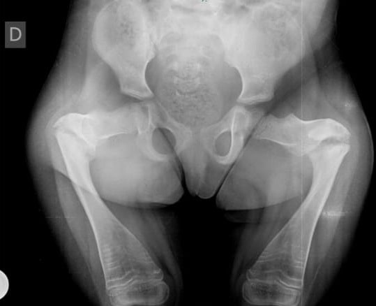
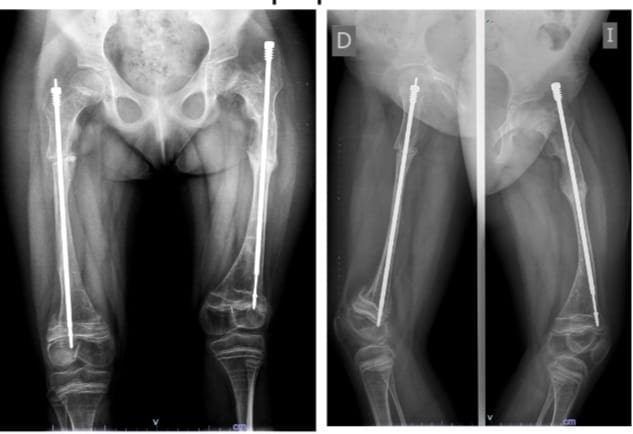
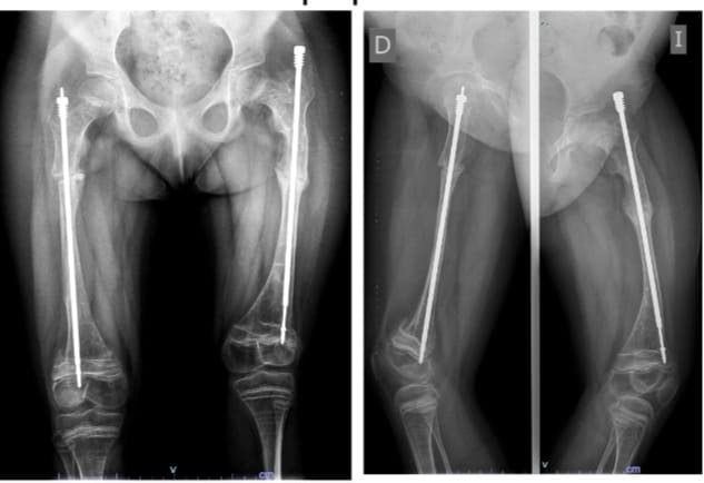
La primera paciente fue una pequeña de 5 años de edad que poseía una osteogénesis imperfecta de grado 3, una enfermedad invalidante que no le permitía caminar.
“Vino en un coche de bebé y se le práctico un tratamiento con un clavo especial, un clavo telescopado para corregir la deformidad, que se ancla en zonas seguras del hueso. Se calcula dónde tiene que ir cierto corte del hueso para recuperar el eje normal del cuerpo. El chico crece con el clavo y el clavo se elonga a medida que el chico crece”, describió.
De este modo el niño o la niña crece sin el peligro de fractura y no se genera una deformidad constante que es lo que le genera la falta de movilidad y el dolor.
Es importante, no obstante, el control permanente del clavo telescopado “hasta que cumpla la mayoría de edad ósea, cuando termina el crecimiento, que varía entre el hombre y la mujer”, subrayó Garabito.
El tratamiento de la pequeña tuvo una duración de 5 años en donde el especialista comenzó con la corrección del eje de la deformidad para luego colocar en los fémures los clavos telescopados. “Por suerte el cuerpo reacciono perfectamente, ahora vamos a comenzar los ciclos de rehabilitación despacito, pero estamos muy contentos”.
“En el rango de los 11 hasta los 13 años el índice de fractura, con el tratamiento colocado, disminuye un 60% o 70 %, pero es importante que se los proteja desde que se detecta la patología hasta que concluye su maduración”, aclaró.
El profesional agregó que otro aspecto a tener en cuenta es el metabolismo del hueso, “el endocrinólogo se encarga de fortalecer ese hueso enfermo para que el calcio ingresé con más facilidad”.
Abordaje multidisciplinario
Si bien se han realizado muchos avances médicos en la materia, aún queda un largo camino por recorrer en el que los médicos se continúan formando, explicó Garabito. El abordaje es multidisciplinario, requiere de un endocrinólogo, un genetista, un equipo clínico y también un fuerte acompañamiento psicológico para la familia.
“Estos tratamientos, por decirlo de alguna forma, son muy artesanales y tienen que tener un control estricto. También poseen un costo muy elevado, sobre todo por los clavos que tienen un valor de 2 millones de pesos cada uno aproximadamente”, expresó.

“Uno intenta que los chicos tengan la mejor calidad de vida posible. Esta nena, por ejemplo, se había fracturado 17 veces ambos fémures antes de que yo la empezara a tratar, después no se fracturó más”.
Consejo a los padres
Para finalizar, aconsejo a los padres de estos pacientes que “nunca se queden con la duda ni con el miedo, uno esta para resolver las inquietudes y que se vayan tranquilos. La pregunta tonta es la pregunta que no se hace, esto es un trabajo en equipo. Lo más importante es que el niño o la niña se sienta contenida”.










