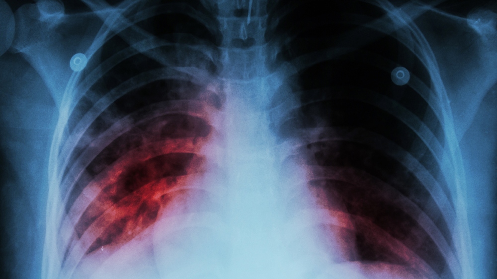
El Ministerio de Salud Pública de Corrientes confirmó que una joven de 17 años murió de tuberculosis.
De acuerdo con la información oficial, la adolescente además del diagnóstico de tuberculosis tenía “antecedentes de otra infección bacteriana”.
“La enfermedad de base era la tuberculosis pero tenía una infección agregada, lo que complicó aun más”, dijo la directora General de Epidemiología, Angelina Bobadilla.

La chica concurría al colegio General San Martín, ubicado en el centro de la ciudad de Corrientes por lo que todos sus compañeros de clase serán sometidos a estudios para descartar que haya contagios.
Bobadilla indicó que seinició un trabajo para buscar personas con síntomas y hasta hoy no se detectaron, pero la pesquisa continuará los días jueves y viernes próximos con radiografías y procesos estimulógicos para verificar si hubiera casos asintomáticos.
Tampoco ayer en la familia de la fallecida se detectaron contagios ni se reportaron síntomas, informó El Litoral.
La cartera sanitaria de la vecina provincia emitió un comunicado recordando los cuidados para evitar el contagio de tuberculosis.
Se trata de una enfermedad infectocontagiosa transmitida de persona a persona a través de las gotas cargadas de bacilos (bacterias) mediante la tos y expectoración o catarro de una persona enferma a una sana; el contacto diario de más de 4 horas con una persona enferma en lugares cerrados poco ventilados aumenta el riesgo de contagio.







