Una mujer arribó semanas atrás a las provincia de Misiones a visitar a su familia en Puerto Iguazú. Sin embargo, desde la tierra colorada se llevó una de cal y una de arena: sufrió un grave siniestro vial, pero más grave fue lo que sucedió en la guardia del Hospital Ramón Madariaga donde pasaron por alto varias fracturas que tenía y le dieron el alta en menos de 24 horas. En un sanatorio privado de Posadas sí corrobaron la gravedad de las heridas.
Gabriela Paez es abogada y vive en Buenos Aires. Ella y un amigo se accidentaron el 29 de julio en la ruta nacional 12, en Santo Pipó, y si bien fueron asistidos por el vicegobernador Carlos Arce que pasaba casualmente por el lugar, lo peor vendría después cuando fueron derivados desde el hospital local al nosocomio capitalino.
En diálogo con FM 89.3 Santa María de las Misiones, la protagonista contó en primera persona la situación que padeció en el centro de salud de Posadas y que puso en riesgo su vida.
El siniestro vial
En diálogo con FM de las Misiones, Paez comenzó a contar que “el accidente fue el 29 de julio a las 14 en Santo Pipó, yo estaba volviendo con mi amigo de Puerto Iguazú a Buenos Aires en un auto, habíamos ido a visitar a mi familia”.
Luego añadió: “Yo no recuerdo nada por los golpes en la cabeza, despistamos. Mi amigo pisó banquina y terminamos en un barranco, el auto dio cuatro vueltas y terminamos ahí muy heridos, yo inconsciente. Desde la comisaría nos contaron que el vicegobernador Carlos Arce bajó porque justo estaba viajando en la ruta y me asisitió, me sacó del auto y me puso en la ambulancia”.
La pesadilla

A Gabriela y a su amigo primero los llevaron al hospital de Santo Pipó y luego, al ver la gravedad de las lesiones, los derivaron al Hospital Escuela de Agudos “Dr. Ramón Madariaga” donde comenzó su padecimiento.
Paez contó que “ahí me dejan en una camilla, en una tabla rígida sin collar Filadelfia (cuello ortopédico). Me hacen estudios, tomografías, radiografías, pero las pasan por alto. Yo les decía, lloraba de dolor, que me dolía mucho el cuello, la cervical, los hombros y las muñecas y me decían ‘¿de qué te quejás? si sólo fue fractura de muñeca, tu amigo está peor se quebró el hombro’. Les decía que no aguantaba el dolor y me pusieron un ratito el collar Filadelfia y después me dejaron ahí sin collar toda la noche, de madrugada yo lloraba de dolor”, relató.
Explicó que “yo no lo podía creer porque yo estaba en una situación vulnerable, mareada, descompuesta. Yo vivo en Buenos Aires y toda mi familia vive en Iguazú, tengo un hermano que vive acá en Posadas, llegó corriendo y le dijeron ‘usted no puede estar acá’, pedí por favor que se quede conmigo y lo sacaron rapidísimo del hospital”.
Para Paez, en la guardia del Madariaga hubo“una negligencia importantísima”, porque “me hicieron los radiografías y tomografías pero la médica que estaba en la guardia nunca las revisó y me dan el alta al día siguiente. Yo estaba toda cortada, ensangrentada y llena de vidrios. Ni siquiera vieron las placas, no me revisaron, que es el ABC de la medicina”, contó.
“Me dan el alta en menos de 24 horas, yo estaba totalmente quebrada y hinchada y yo le digo a la médica que le explique a mi hermana (vino desde Buenos Aires) que estoy mareada y me contesta ‘yo no te puedo explicar dos veces lo mismo, yo te doy el epicrisis y vos se lo mostrás a tu hermana’. Voy a la casa de mi hermano con mi hermana, me recuestan en la cama, pasa un día y yo no aguantaba los dolores por eso me llevaron al Sanatorio Boratti”, sintetizó.
Fracturas y ¿denuncia penal?

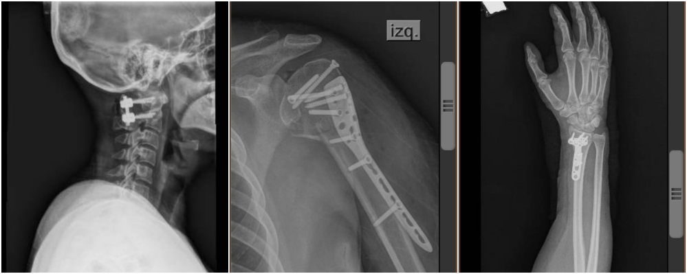
Al arribar al sanatorio privado, Paez contó que “en la guardia se agarraban la cabeza porque yo estaba toda lastimada, la boca cortada, la cara ensangrentada, porque mi hermana me limpió pero no salían”. Y contó que en las radiografías y tomografías “vieron que tenía fractura 1 y 2 de cervical, los dos hombros, una muñeca, una costilla y el omóplato fracturados y eso no lo vieron (en el Madariaga), no revisaron mis placas. En el Boratti bajaron corriendo las enfermeras, los médicos, el médico especialista en cervical, el neurocirgujano, me pusieron el collar ortopédico y decían no la toquen”.
“Si yo hubiera hecho un mal movimiento, me hubiera acostado mal en la cama, podría haber quedado caudripléjica toda mi vida. Mis hermanos se largaron a llorar cuando llegaron”, resaltó.
Contó que a raíz de la mala situación, quedó internada desde el 3 de agosto hasta hace tres días en el sanatorio cuando le dieron el alta, sin antes realizarle varias cirugías. “Volví a caminar, porque estuve postrada en la cama desde el 3 al 11 de agosto cuando fue la primera cirguía de cervical. Y todo esto lo viví porque no revisaron una placa o no lo vieron”.
En ese sentido, agregó que “lo que más me duele es que la médica que me atendió ese día estaba embarazada, yo no sé si ella tuvo un mal día, pero no son formas de tratar a una persona que está vulnerable, que casi pierde su vida, yo tenía la famosa fractura del ahorcado. Sin embargo me trató de esa forma, no entiendo como no revisó las placas, es una negligencia absoluta. Ella (la médica) está embarzada, está por traer una vida, pero casi me quita la vida a mí”.
Por último, argumentó que “yo puedo hacer una denuncia por mala praxis pero mi idea es que aprendan, que pongan gente idónea en ese sector, porque es muy grave lo que sucedió”.
Dijo que “no puede haber gente que te trate de esa forma, que no esté capacitada para recibir una emergencia en una guardia de accidentes de un hospital que es público y mucha gente lo necesita.Es un llamado de atención para el personal de guardia que estaba el 29 de julio”.
Al día de hoy, Gabriela debe transitar cuatro meses de recuperación y luego deberá hablar con sus colegas donde trabaja, ya que evalúan realizar una denuncia penal en la Fiscalía Federal Nº 1 de San Martín, provincia de Buenos Aires, ya que Paez es empleada judicial.





